精选
人工视网膜成功恢复盲人患者部分视力

视网膜下植入电子设备,助力年龄相关性黄斑变性患者恢复部分视力
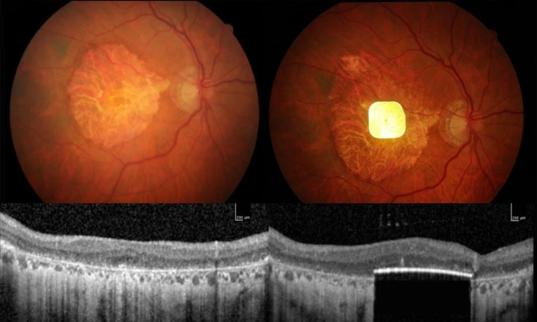
科学家借助一种眼部植入设备,帮助数十名因年龄相关性黄斑变性(AMD)陷入功能性失明的患者改善了视力。该植入设备尺寸仅为2毫米×2毫米,厚度仅30微米,通过手术植入视网膜下方,以替代因疾病而受损丢失的感光细胞。
这项临床试验成果于今日发表在《新英格兰医学杂志》上[1],共纳入38名视网膜严重退化的晚期AMD患者。在植入设备一年后,80%的参与者视力获得了具有临床意义的改善。
“在这片曾因视网膜坏死而完全失明的区域,视力得到了恢复,”该试验负责人、德国波恩大学眼科医生弗兰克·霍尔茨(Frank Holz)表示,“患者能够辨认字母、阅读单词,并且可以正常开展日常生活活动。”
尽管植入手术引发了一些轻微不良事件,但试验的安全监测委员会认为,该设备带来的益处超过了其潜在风险。今年6月,该设备的所有者——总部位于美国旧金山的神经科技公司“科学公司”(Science Corporation)已提交认证申请,若获批,该设备将可在欧洲市场销售。
“我认为这是一项令人振奋且意义重大的研究,试验设计合理、分析严谨。对于那些曾认为重获光明只是‘科幻情节’的患者而言,这项研究带来了希望,”伦敦帝国理工学院眼科医生弗朗西斯卡·科迪罗(Francesca Cordeiro)评价道。
视力恢复的原理
年龄相关性黄斑变性(AMD)是老年人群中最常见的不可逆失明病因。该疾病主要分为两种类型:湿性AMD和干性AMD。本研究针对的是干性AMD患者,全球约有500万人受晚期干性AMD困扰。在干性AMD病程中,视网膜中央区域的感光细胞会在数年内逐渐死亡,导致患者周边视力完好,但高分辨率的中央视力完全丧失。霍尔茨指出:“患者无法辨认人脸、无法阅读、无法开车,也无法看电视。”
死亡的感光细胞(视杆细胞和视锥细胞)的正常功能是将光信号转化为电化学信号,并传递给其他类型的视网膜神经元,再由这些神经元将信号传至大脑的视觉处理区域。由于AMD患者的视网膜神经元仍保持存活,科学家提出设想:若能植入一种感光设备,根据入射光子的分布模式对视网膜进行电刺激,或可重建视觉感知。
视网膜修复可视化指南
这种名为“PRIMA”的植入设备,全称为“光伏视网膜植入微阵列”(photovoltaic retina implant microarray),最初由法国巴黎的Pixium Vision公司研发,去年被科学公司收购。与以往的视网膜植入设备不同,PRIMA无需有线连接;且凭借其光伏特性,激活设备的光子同时也为其提供电能,驱动电信号输出。
该设备需与一副特制眼镜配合使用:眼镜内置摄像头,可捕捉图像并将其转化为红外光模式,再将红外光信号传输至视网膜植入设备。
霍尔茨表示,这套系统支持用户对目标物体进行缩放、调节对比度和亮度,但要实现最佳使用效果,使用者需接受数月的强化训练。
在本次研究中,38名患者分别在欧洲5个国家的17个临床中心接受了治疗,其中32名患者在植入一年后接受了视力检测。结果显示,26名患者的视力获得具有临床意义的改善——平均而言,他们在标准视力表上能多看清两行字母。总体来看,大多数患者的视力已接近PRIMA设备理论上可实现的分辨率水平。
研究结束时,多数植入者已能在家中使用PRIMA阅读字母、单词和数字。在32名接受检测的患者中,22人表示对该设备的使用满意度为中到高水平。
阅读速度仍受限
然而,一项关于使用者日常生活质量的问卷调查显示,患者的整体生活质量并未得到显著改善。一位不愿透露姓名以避免不必要争议的视网膜退化研究人员(其研究方向为视力丧失治疗)向《自然》杂志表示,他担心高强度的视觉训练以及患者对“获得前沿医疗设备”的心理期待,可能在一定程度上夸大了视力检测结果的改善幅度。该研究人员认为,若能设置随机安慰剂对照组——让对照组患者仅佩戴特制眼镜并接受训练,而不植入设备——并对比两组效果,研究结论会更具说服力。
霍尔茨也承认,当前这套系统存在局限性,并表示未来的植入设备有望具备更优性能。“这是首个重大突破,也是进一步改进的起点,”他说。
另一个关注点是当前设备的最大视力分辨率。PRIMA系统仅有381个像素,每个像素的尺寸为100微米×100微米。霍尔茨坦言,使用者的阅读“并非快速、流畅的阅读”,且设备提供的视觉图像为黑白模式,无法呈现色彩。
霍尔茨提到,该设备的原始设计者、美国加利福尼亚州帕洛阿尔托市斯坦福大学物理学家丹尼尔·帕林克(Daniel Palinker)已提出未来实现彩色视觉的构想。下一代植入设备将比PRIMA更大,且搭载更小的像素,有望实现更高的视力分辨率。“这只是一个开端,”霍尔茨说。
尽管该设备目前仅在AMD患者中进行了试验,但它也有望为其他因感光细胞死亡、但视网膜其他神经元仍具备功能的疾病患者恢复视力,例如视网膜色素变性。
视网膜植入设备并非解决这类视力问题的唯一方案。其他研究人员正探索多种替代疗法,包括利用干细胞疗法再生感光细胞、通过光遗传学疗法向残存视网膜细胞中导入感光蛋白,甚至研发可植入大脑视觉皮层的植入设备。
“这是一个充满活力的研究领域,目前已有多种研究方向,”霍尔茨表示,“最终哪一种方案能取得成功,目前尚无定论。”
转载本文请联系原作者获取授权,同时请注明本文来自孙学军科学网博客。
链接地址:https://wap.sciencenet.cn/blog-41174-1506753.html?mobile=1
收藏