精选
胰岛素发现的故事
关于胰岛素的发现,有许多介绍,但我觉得悉达多·穆克吉最近《细胞传》中有一些新的内容,例如关于胰岛器官的解剖学早期研究,胰岛素β细胞的解剖学发现,胰岛素的名称来历,胰岛素发现过程中的典故,能看出在这一重要发现中各位科学家的贡献。根据最近了解的一点信息,我这里增加了胰岛素生产方面的故事。
(《细胞传》是印度裔美籍肿瘤学家、普利策奖得主悉达多·穆克吉创作的科普图书,由其“生命三部曲”系列前作《癌症传》《基因传》译者马向涛翻译,中信出版社于2024年10月出版。本书作为该系列的终章,延续了作者结合医学实践与科学叙事的创作风格,以细胞生物学发展史为主线,探讨细胞协作、防御、修复等功能对人类健康的影响 。)
一、胰腺细胞功能始于一场谋杀案的发现
胰腺细胞功能的发现始于两位解剖学家之间一次不光彩的争执,争执以一场谋杀案告终。两人中的年长者约翰·维尔松是帕多瓦一位备受尊敬的德国解剖学教授。1642年3月2日,在圣方济各会教堂附属的一家医院里,维尔松解剖了一名被绞死罪犯的腹部以取出胰腺。包括他的学生莫里茨·霍夫曼在内的几位助手参与了解剖。当维尔松取出胰腺并进一步探查该器官时,他发现了一个之前没有被注意到的特征:有一条贯穿其中的导管(后来被称为主胰管)通向肠道。维尔松发表了一系列描述其发现的医学素描,并将这些图版寄给了当时的顶尖解剖学家,但对这种导管的功能却几乎没有做出评论。(尽管人们可能会问:除非这个通道需要运送什么物质,否则导管为什么要穿过解剖学上的靠垫?)
维尔松对于其解剖学发现的主张可能点燃了一场积怨。1643年8月22日晚,维尔松宣布有关胰管突破性鉴定的消息后刚过一年多,他在帕多瓦自家屋外的小巷里散步时被一名比利时刺客击杀。他的生命以这种离奇残酷的方式结束的原因依然成谜,但至少有一个可能的动机显而易见。莫里茨·霍夫曼,维尔松的这位得意门生,卷入了一场与导师的激烈争执。霍夫曼声称,他曾向维尔松展示过鸟类中胰管的存在,而维尔松利用其发现在人体中确定了同样的导管,但却没有把功劳归于自己的学生。霍夫曼指责这位解剖学大师实际上是个高明的剽窃者。
有人或许会认为,维尔松被暗杀会让胰腺解剖学领域感到寒意(我想不到还有哪起谋杀案是由导管引起的),但实际上人们对胰腺功能的兴趣被点燃了。如果胰腺不是胃的靠垫,那么它的功能是什么?埋在其中的导管又在运送什么?1848年3月25日,一个星期六的早晨,在巴黎创造了“稳态”概念的生理学家克劳德·贝尔纳进行了一项关键的实验。那并不是一个能让人专注于科学的轻松时期。革命正在欧洲蔓延。法国国王刚刚退位。军队正在街头巡逻,而贝尔纳却独自留在其实验室里。他更关心体内平衡的恢复,关心细胞如何保持稳定状态(与菲尔绍不同,贝尔纳对保持国家稳定并不特别感兴趣)。
贝尔纳从一只狗身上提取了胰腺的“液体”,并且在其中加入了一块蜡状脂肪。他发现,在大约八个小时后,这种液体已经将脂肪乳化,也就是将其分解成小颗粒,从而使一层乳白色的液滴漂浮在上面。贝尔纳在其他生理学家之前工作的基础上发现,胰腺细胞分泌的胰液也能分解淀粉与蛋白质,本质是将复杂的食物分子转化为更简单、可消化的单元。1856年,贝尔纳在发表的《胰腺论文》中阐述了其观点,即胰腺释放的这些液体可以促进消化。因此,维尔松发现的导管正是这些液体的中央通道:它将液体输送到消化系统,在那里将复杂的食物分子分解成简单的分子。贝尔纳终于发现了这个腺体的功能。
但世界也必须用眼睛来衡量。贝尔纳完成他对胰腺的生理学研究时,细胞理论正处于鼎盛时期,显微镜学家已经将他们的镜头对准了胰腺的微观结构。1869年冬季,当生理学家保罗·朗格汉斯透过显微镜观察胰腺组织切片时,他发现这个器官中隐藏着另一个惊喜。不出所料,他找到了维尔松所描述的管道,周围环绕着膨大的浆果状细胞,它们后来被确定为生产消化液的细胞,而这些细胞最终被称为“腺泡”(acinar)细胞(acinus在拉丁语中是“浆果”的意思)。但当朗格汉斯透过显微镜观察腺泡细胞以外的区域时,他看到了另一种细胞结构。他发现,这些与腺泡细胞不同的小岛状细胞隐藏在胰腺内,并且它们在使用细胞染料染色后呈现出亮蓝色。这些细胞看起来与那些产生消化液的细胞完全不同。它们往往彼此相隔甚远,像群岛一样漂浮在胰腺组织的海洋里。后来,这些细胞团被称为朗格汉斯岛。
该领域再次充满了关于这些细胞岛功能的问题与猜测。胰腺似乎是一个在源源不断分泌的腺体。
二、外科医生班廷和胰岛素的发现
胰岛素于1921年由加拿大人弗雷德里克·格兰特·班廷和贝斯特首先发现。1922年开始用于临床,使过去不治的糖尿病患者得到挽救。1923年,约翰·詹姆斯·理查德·麦克劳德(Macleod, John James Rickard)与佛瑞德·格兰特·班廷(Fredrick Grant Banting)共同获得1923年的诺贝尔生理学或医学奖。
班廷医生(Frederick Banting1891年-1941年)在1916年从多伦多大学医学院结业,随即投身于第一次世界大战的战场。在1918年的康布雷战役中,他英勇负伤。战后,班廷希望以外科医生为职业,然而在多伦多大学儿科医院寻求正式职位的过程中遇到了重重困难。为了能与未婚妻Edith Roach任教的高中更近一些,他于1920年7月离开家乡阿利斯顿(Alliston),在多伦多西边110英里外的伦敦市开设了一家私人诊所。(这段内容,参考于《胰岛素百年发现之旅:从偶然到诺贝尔奖》)
1920年7月,弗雷德里克·班廷还是一位在多伦多郊区诊所工作的外科医生。他的私人诊所规模很小而且难以维系,他常常独自坐在空无一人的诊室里。那年7月,他挣了4加元;9月挣了48加元,只勉强够他维持基本的生活,更不用说继续经营他的诊所了。他开着一辆破旧的五手车,大约跑了250英里就散架了。随着债务与疑虑在那个秋季不断增加,班廷在多伦多大学找了一份医学演示员的工作,即给主讲者做助手。(此处有错误,实际上班廷为了摆脱生活经济困难处境,决定在London市的西安大略大学(Western University, WU)担任外科学和解剖学的兼职讲师。)


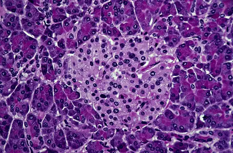
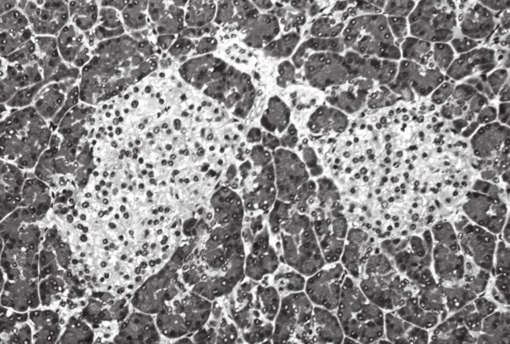
图.此胰腺的切片展示了两种主要的细胞类型。产生消化酶的较大的腺泡细胞围绕着较小的胰岛细胞的“小岛”,后者分泌胰岛素。前二张图来自网络,供对比参考。
1920年10月的一个深夜,班廷在《外科、妇科与产科》杂志上读到一篇文章,文章描述了多种胰腺疾病发展为糖尿病的情况,其中就包括导致输送消化液的管道阻塞的结石。文章作者注意到,其中一些疾病,特别是那些导致管道阻塞的疾病,会引起产生消化酶的腺泡细胞退化。但奇怪的是,当导管堵塞时,腺泡细胞通常会在早期萎缩与退化,而胰岛细胞却能够存活更长时间。作者几乎是顺带提到,糖尿病一般直到胰岛细胞最终退化才会显现。
(更精彩描述:1920年10月30日,一个周六的深夜,班廷正为即将面临的讲课任务而焦虑不安。他的主管教授米勒(F.R. Miller)临时交给他一个陌生题目——糖代谢与糖尿病。在几个小时的匆忙准备后,班廷结束备课,随手取来枕边的“Surgery, Gynecology and Obstetrics”期刊作为睡前消遣。出乎意料的是,这期杂志的首篇论文便是由美国病理学家巴伦(Moses Barron)撰写的,深入探讨了胰岛(Islets of Langerhans)与糖尿病之间的关联。本段补充)
班廷对此很感兴趣。这些细胞岛的功能尚不明确。或许它们与糖尿病有某种关系。作为一种糖代谢疾病,糖尿病令人费解。当身体不能感知或正确传递糖分存在的信号时,糖分就会在血液中积聚并且从尿液中溢出。班廷在一个不眠之夜辗转反侧地思考着这件事。或许胰腺这个由两叶组成的器官实际上具有双重功能。以贝尔纳为代表的几代生理学家都只是专注于它的外部功能,即分泌消化液。但如果胰岛细胞分泌了第二种化学物质(一种内部物质)来感知与调节葡萄糖呢?这些细胞的功能障碍将使身体无法感知葡萄糖,从而导致作为糖尿病基本特征的血糖水平飙升。班廷写道:“我思考了那次讲座,我思考了那篇文章,我思考了自己的困境,以及我是多么想摆脱债务与烦恼。”于是他匆匆写下了一项实验的粗略框架。
如果他能够区分“外部”与“内部”的功能,即腺泡细胞的分泌与胰岛细胞的分泌,那么他可能会找到控制血糖的物质,而这才是理解糖尿病的关键。
“糖尿病。”他在那天晚上写道。
“结扎狗的胰导管。让狗活到腺泡退化并保留胰岛。”
“尝试分离这些胰岛细胞的内部分泌物以缓解糖尿[尿液中含糖,糖尿病的一种症状]。”
著名的科学史学家卡尔·波普尔讲述过这样一个故事:一个石器时代的人被要求想象在某个遥远的未来发明出的车轮。朋友说道:“请描述一下这项发明将是什么样子。”这个人开始努力措辞。他说:“它像一个坚固的圆盘。它会有辐条与轮毂。哦,还有一根连接另一个车轮的轴,它的外观同样是一个圆盘。”然后这个人停下来重新考虑他所做的事情。其实他在构思发明车轮的时候已经预见到它。
在日后的岁月里,班廷会将他在那个10月夜晚的笔记描述得很像发明车轮的故事。在他看来,他已经发现了控制血糖的激素,而这种物质后来被命名为胰岛素。
关于这段故事,中文比较多的是:著名的爱德华·卡尔文·肯德尔曾经成功地分离出一种激素---甲状腺素,于是许多人都想试图从胰腺中提取胰岛素(当时有这名称吗?根据悉达多的故事,此时应该还没有这种名称)。倘若能成功,那么提出的激素一定有助于糖尿病的患者,当连续治疗时,他们将可以痊愈。所有分离胰岛素的尝试都失败了。因为一将胰腺研碎,胰腺内的消化酶就将胰岛素分子(蛋白质)破坏。
但他应该在哪里进行实验来证明它呢?带着几分焦虑与好奇,他很快鼓起勇气去接近多伦多最资深的教授之一——严谨博学的苏格兰人约翰·麦克劳德,班廷希望能在狗身上进行实验。
(班廷通过UT儿科医院的首席外科医生斯塔的引荐,于1920年11月8日与麦克劳德进行了会面。没有人随便成功,贵人斯塔相助是非常重要的。)1920年11月8日的首次会面是一场灾难。他们在麦克劳德的办公室里相见,一张桌子上堆满了成捆的文件,教授在交谈时心不在焉地翻阅着其中的一些。麦克劳德从事糖代谢研究数十年,是该领域的一位重要人物,既富有同情心又要求严格。班廷没有给他留下什么印象。或许他原本期望班廷对糖尿病与糖代谢反应有深入的了解,却发现班廷是个缺乏信心与研究经验的年轻外科医生,谈论着一个自己似乎知之甚少的器官,以及一个支离破碎的探索计划。尽管如此,麦克劳德还是同意让班廷在他的实验室里用一些狗进行实验。班廷不断地请求他。这项实验必须成功。最后,麦克劳德从两位学生中指派了一人来协助班廷。学生们则通过抛硬币来决定谁先与班廷一同工作。才华横溢的年轻研究员查尔斯·贝斯特胜出。
班廷与贝斯特在1921年夏季的酷暑中开始了他们的主要实验,在医疗大楼顶层一间尘土飞扬、无人使用的柏油屋顶实验室里给狗做手术。5月17日,麦克劳德向贝斯特与班廷展示了如何在狗身上进行胰腺切除手术,这是一个比期刊文章中描述的更为复杂的两步走过程(后人对这段历史存在误解,一般同意班廷的观点,认为麦克劳德没有贡献。公平地说,没有麦克劳德的参与,就没有班廷的成绩。他是资深糖尿病研究学者,不会在没有想明白的情况下,轻易让一个自己没有任何把我的研究内容借用自己的场地和资源,甚至配合人员都有。后来的对胰岛素的分离纯化工作也一样,虽然他没有参与具体的操作,但在学术组织尤其是研究指导中的作用是非常巨大的)。实验室的设备很简陋,而且酷热难耐。汗流浃背的班廷剪掉了实验服的袖子。他抱怨道:“我们发现在炎热的天气里几乎无法保持伤口清洁。”
班廷设计的实验原理很简单,但是在实践中却异常复杂。在一些狗身上,他们会按照班廷所读外科论文的手术步骤将胰管缝扎,直到腺泡细胞萎缩死亡,但胰岛细胞保持正常。在第二组狗中,他们将把整个胰腺切除,既没有保留腺泡细胞,也没有保留胰岛细胞,因此不存在胰岛“物质”。其中一组保留胰岛,另一组没有胰岛,通过在两组之间转移分泌物,他们将确定胰岛细胞的功能以及它们分泌的物质。
最初的尝试以失败告终。第一只狗死于贝斯特使用的过量麻醉剂。第二只狗死于出血。然后第三只死于感染。经过多次尝试,班廷与贝斯特才成功让一只狗存活足够长的时间来进行实验的第一阶段。
那年夏末,气温仍在上升,编号为410的一只白色㹴犬被切除了整个胰腺。正如预期的那样,它开始出现轻度糖尿病,血糖水平约为正常值的两倍。尽管这只狗并未出现最严重的糖尿病症状,但班廷与贝斯特认为这已经足够令人满意。接下来的步骤至关重要:他们将来自保留完整胰岛细胞的狗的胰腺磨碎,然后把提取的液体注射到这只㹴犬的体内。如果“胰岛物质”存在,它应该能够逆转糖尿病。一小时后,这只㹴犬的血糖恢复正常。他们又注射了第二剂,结果血糖再次恢复正常。
班廷与贝斯特一次又一次地重复这项实验。他们从一只保留完整胰岛的狗身上提取胰液。然后将提取物注射到患有糖尿病的狗体内并测量血糖水平。经过多次尝试,他们开始确信胰岛细胞分泌的某种物质可以导致血糖下降。他们为一种只在想象中见过的物质起了个名字。他们称之为岛素(isletin)。
岛素是一种难以处理的物质,非常善变、反复无常、不可预测。正如其名字所暗示的那样:与外界隔绝。虽然岛素的信号很微弱,但是麦克劳德开始相信班廷与贝斯特确实发现了一些重要的东西。他很快指派了另一位科学家詹姆斯·科利普参与这个项目,而这位年轻的加拿大生物化学家已经证明了自己是生化提取的天才。科利普的工作是从班廷与贝斯特制备的胰液中纯化岛素这种难以捉摸的物质。
最初的尝试很粗糙,而且效果令人失望。科利普处理了大量研磨之后的黏稠胰腺提取物,试图追踪班廷与贝斯特在狗身上观察到的降糖活性线索。最终,他得到了第一个样本,虽然这种物质经过稀释且纯度不高,但仍然是从胰腺中提取出的一种制剂。
对于该提取物的关键测试是确定它能否逆转人类患者的糖尿病。这是一项紧张的临床试验。受试者伦纳德·汤姆森是一位处于严重糖尿病危机的14岁男孩。糖分从他的尿液中倾泻而出。其身体极度虚弱憔悴,只剩下皮包骨头。他在昏迷与清醒之间飘忽不定。1922年1月,班廷给他注射了这种粗提取物,但是结果令人失望。这位男孩有一个几乎难以察觉到的轻微反应,不过很快就消失了。
班廷与贝斯特感到十分沮丧:他们的第一次人体实验以失败告终。但是科利普继续研发高纯度提取物。只要这种“物质”存在于胰腺的某个地方,他就会找到某种方法对其进行纯化。他不断寻找新型溶剂与新型蒸馏方法,以及改变温度与酒精浓度来溶解该物质,直到他获得一种高纯度提取物。
1922年1月23日,研究小组回到了汤姆森身边。这位男孩仍然病得很重,他被注射了科利普的高纯度提取物。效果立竿见影。血液中的糖分急剧下降。尿液中的糖分也消失了。他呼吸中酮体物质产生的甜果香味逐渐消散,而这是身体处于严重代谢危机的不祥警告。这位处于半昏迷状态的男孩醒了过来。
班廷现在想要更多的提取物来治疗更多的患者。但作为后来者的科利普拒绝向研究小组提供纯化方案;毕竟,他不是已经解决了这个难题吗?班廷如今在身心上已经几近崩溃,这个像亚哈一样追逐这种物质长达四年的人,走进科利普的实验室并且抓住他的实验服。他把科利普扔到椅子上,用手扼住科利普的脖子,并且威胁要掐死他。如果不是贝斯特在适当的时候干预并将两人拉开,那么胰腺就会成为两起而非一起谋杀案的罪魁祸首。
最后,科利普、贝斯特、麦克劳德与班廷之间达成了脆弱的休战协议。他们将该纯化物授权给多伦多大学,并建立实验室以生产更多用于治疗患者的提取物。它的名字从岛素改为胰岛素。(班廷和贝斯特称此激素为isletin,而麦克劳德主张用一有趣味的、比较古老的名称insulin(胰岛素)。)一项规模更大的临床试验取得了同样的巨大成功:注射胰岛素的患者血糖水平急剧下降。患有酮症酸中毒的半昏迷儿童醒了过来。虚弱憔悴的身体开始增重。很快,人们就意识到了胰岛素是糖代谢的主要调节器,这种激素负责感知血糖并向全身细胞发送信号。
1923年,就在班廷与贝斯特进行第一次实验仅仅两年后,班廷与麦克劳德因发现胰岛素被授予诺贝尔奖。班廷对选择麦克劳德而排除贝斯特感到非常不安,他宣布自己会私下与贝斯特平分其奖金。麦克劳德回应说他会与科利普平分另一半。历史或许恰如其分地将麦克劳德推到了幕后,他在整个项目中一直在怀疑与支持之间摇摆。胰岛素的发现如今被普遍归功于班廷与贝斯特。这是加拿大人首次获得诺贝尔奖。1923年加拿大议会通过授给班廷以年金,并给他建立班廷研究基金。在多伦多大学设立了班廷-贝斯特教授职位,1934年授予班廷爵士职位。第二次世界大战爆发后,班廷再次参加了战地医疗工作,为一名少校,在加拿大军队中服役,但此次很不幸。1941年在纽芬兰上空因飞机失事而牺牲。
我们知道,胰岛素由胰腺中的β细胞合成,其分泌受到血液中葡萄糖存在的刺激。然后它会传遍全身。几乎每一种组织都会对胰岛素做出应答。糖的存在意味着能量摄取,以及一切随之而来的事物,例如蛋白质与脂肪合成、储存供将来使用的化学物质、神经元放电、细胞生长,都可以进行。胰岛素或许是最重要的“长程”信息之一,作为中央协调器组织贯穿整个身体的新陈代谢。
1型糖尿病是一种影响全球数百万患者的疾病,其特点是免疫细胞攻击胰腺的β-胰岛细胞。如果没有胰岛素,即使血液中的糖分含量足够,身体也无法感知其存在。体内的细胞以为身体没有糖了,便开始四处寻找其他形式的燃料。与此同时,已经准备就绪的糖无处可去,只能在血液中危险性地飙升,并且溢出到尿液中。糖,到处都是糖,但细胞内却没有分子可以满足它们的需求。这是人体代谢系统的一种典型危机,即细胞在糖分充足时处于饥饿状态。自胰岛素被发现以来的几十年里,数百万1型糖尿病患者的生活发生了改变。
三、胰岛素生产和另一位伟大生理学家的故事
奥古斯特·克罗格(August Krogh)是丹麦生理学家,1920年因发现骨骼肌微血管调控机制获诺贝尔生理学或医学奖。他的研究彻底改变了对毛细血管功能的认知,提出“毛细血管募集”理论,解释了运动时氧气供应增加的现象。吉普赛人克罗格教授是一个为人非常低调的科学家,他的老师是著名的克里斯蒂安·玻尔教授,不是和爱因斯坦争议的那个玻尔教授,是后者的爸爸。玻尔教授1904年提出玻尔效应,玻尔效应(Bohr effect)是指二氧化碳浓度增加导致细胞内pH值降低,进而引起红细胞内血红蛋白氧亲和力下降的生理现象。
克罗格在1919年提出毛细血管在静息状态下关闭、运动时主动开放的理论,颠覆了当时认为毛细血管仅作为被动通道的固有认知。他的研究基于对骨骼肌解剖结构与氧气扩散理论的结合,通过实验观察到运动时毛细血管数量增加的现象。该发现不仅为他赢得诺贝尔奖,还奠定了肌肉微循环调控机制的基础。
克罗格在糖尿病领域也有突破:他与妻子玛丽·克罗格合作开发了胰岛素提取技术,推动了糖尿病治疗的发展。1923年成立的诺和诺德公司(诺德胰岛素实验室前身)即以此为基础。
克罗格夫人玛丽患上了1型糖尿病。在那个年代,被诊断出患有这种疾病的儿童通常活不过1-2年,而像玛丽这样的成年人也只能存活5-6年。1922年(胰岛素获奖于1923年,个人猜测和克罗格推荐有关),在获得诺贝尔奖后前往美国巡回演讲期间,迫于玛丽的坚持,他联系了多伦多大学的约翰·R·R·麦克劳德(John R. R. Macleod)——正是在麦克劳德的实验室里,弗雷德里克·G·班廷与查尔斯·H·贝斯特(Charles H. Best)从狗的胰腺中成功提取出胰岛素。克罗格与麦克劳德共处一段时间后,成功带着在丹麦生产胰岛素的许可凯旋归国。随后,他与玛丽的医生汉斯·克里斯蒂安·哈格多恩(Hans Christian Hagedorn)合作研发出“利奥胰岛素”(Insulin Leo),玛丽也成为首批受益于该胰岛素的患者之一。克罗格的目标是为斯堪的纳维亚地区的每一位糖尿病患者提供价格亲民的胰岛素,而他们生产的胰岛素最终成为当时全球价格最低的胰岛素。由克罗格与哈格多恩创立的诺和实验室(Novo Laboratories)及诺德胰岛素基金会(Nordisk Insulin Foundation)发展而来的诺和诺德制药公司(Novo Nordisk Pharmaceuticals Inc.),如今已成为全球最大的胰岛素生产商。
转载本文请联系原作者获取授权,同时请注明本文来自孙学军科学网博客。
链接地址:https://wap.sciencenet.cn/blog-41174-1504848.html?mobile=1
收藏